UNSERE LEISTUNGEN
Unsere Ausstattung:
• 2 Operationssaal für Kleintiere
• 8 stationäre Boxen mit Videoüberwachung für Kleintiere
• 3 Untersuchungsräume für Kleintiere
• 1 Röntgenraum für Kleintiere
• 5 Parkplätze im Innenhof
Unsere Leistungen:
Ultraschall
Die Ultraschalldiagnostik setzen wir bei internistischen Störungen, zur Trächtigkeitsdiagnose und zur Abgrenzung von Tumoren ein. Hierfür steht ein modernes Farbdoppler-Ultraschall-Gerät, dass uns auch Untersuchungen bei Herzerkrankungen ermöglicht, zur Verfügung.

HD- / ED- / Digital-Röntgen
Die Röntgenaufnahmen werden mit viel Erfahrung digital erstellt
Selbstverständlich ist eine moderne Hochleistungsröntgenanlage mit entsprechender vollautomatischer Entwicklungseinheit im Einsatz.
Seit 2001 sind wir für alle Zweifelsfälle auch mit einer digitalen Röntgeneinheit ausgestattet, die besonders feine Aufnahmen mit hoher Transparenz ermöglicht. Diese Röntgenbilder sind in Ihrer Aussagefähigkeit deutlich besser als normale Röntgenaufnahmen und ersparen damit häufig die Anfertigung einer Computertomographie. Herkömmliche Röntgenaufnahmen können bei uns ebenfalls durch Digitalisierung in die Datenverarbeitung genommen werden. In dieser Form sind sie als E-Mail versendbar. Seit 2019 haben wir auch eine digitale Zahnröntgeneinheit. Das erleichtert und beschleunigt die Zusammenarbeit mit beratenden Kollegen sowie die Informationsübermittlung bei Überweisungen auch über weite Distanzen.
Internistik / Innere Medizin
Internistische Fälle werden grundsätzlich intensiv diagnostiziert. Dadurch sind auch bei schweren Erkrankungen und Notfällen hohe Erfolgsquoten in der Therapie möglich. Für alle Problemfälle sind wir im ständigen Kontakt mit kompetenten Kollegen und Spezialeinrichtungen. Auch komplizierte Stimulationstests und Langzeitinfusionstherapien stellen keine unlösbare Aufgabe für uns dar. Notwendig werdende CTs oder Kernspintomographien werden auf unsere Anweisung in entsprechend ausgestatteten Kliniken durchgeführt.
Bronchoskopie Gastroskopie Rektoskopie

Chirurgie / Elektrochirurgie
Neben der orthopädischen und der Frakturchirurgie wird auch die Weichteilchirurgie angeboten, z.B. für Kastrationen, Tumoroperationen an Haut und inneren Organen etc.
Tumortherapie mit Enzymkomplexen.

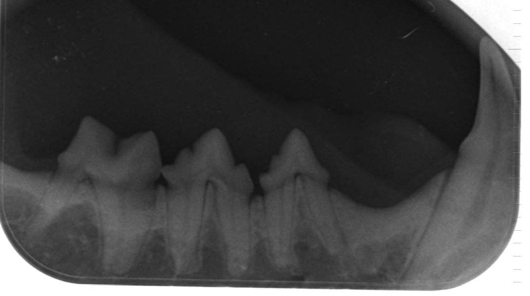
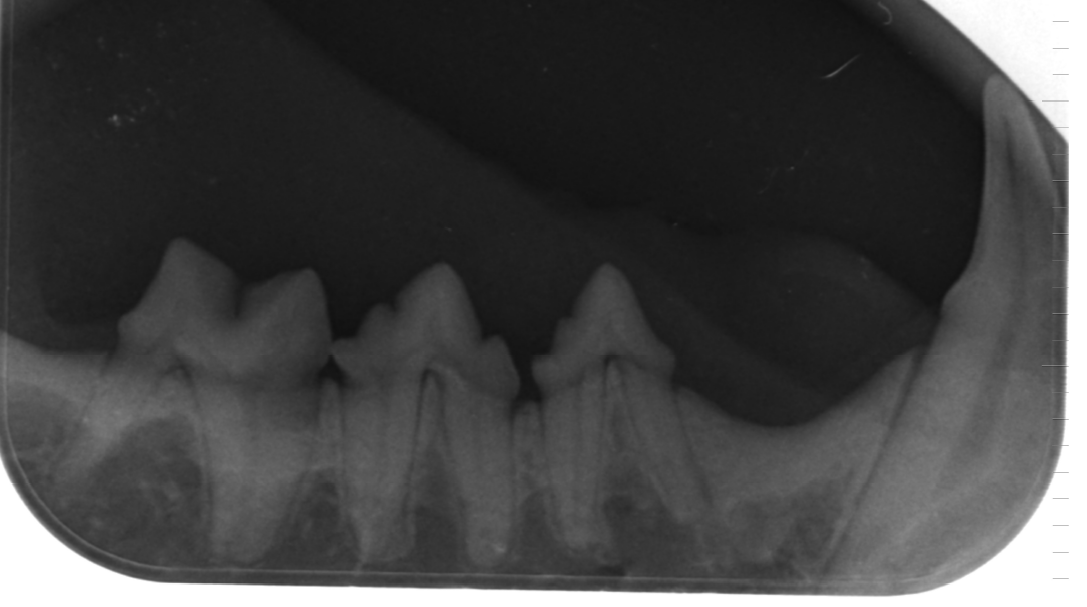
Zahnsanierung / Dentalröntgen
Zahnsteinentfernung per Ultraschall
Digitales Zahnröntgen.
Auch Zahnsanierung /Zahnkorrekturen von Heimtieren mit gut steuerbarer Inhalationsnarkose.

Labor
Unser Labor ist in der Lage, viele wichtige Werte des Blutes innerhalb weniger Minuten zu bestimmen. Hierdurch kann auch am Wochenende und an Feiertagen eine gezielte Therapie eingeleitet werden. Kompliziertere Untersuchungen werden an spezielle Diagnoseeinrichtungen weitergeleitet. Parasitäre Untersuchungen des Kotes, Pilztests, Parasiten und bakteriologische Untersuchungen werden ebenfalls im eigenen Labor durchgeführt.
Orthopädie / Osteosynthese
Die üblichen orthopädischen Operationen führen wir routinemäßig durch. Totalendoprothesen sowie neurologische Operationen überweisen wir. Diese Methoden gehören in die Hände weniger Spezialisten, mit denen wir ständig in Kontakt sind! Bevor eine Überweisung vorgenommen wird, prüfen wir, im Sinne unserer Patienten, alle in Frage kommenden nicht invasiven Therapieformen. Nach unserer Ansicht sollte eine Operation nur in Fällen, bei denen keine Alternative besteht, angewandt werden.
Bioresonanz
Bioresonanz – was ist das und funktioniert es wirklich?
Die Bioresonanztherapie oder Bicom-Therapie ist besonders zur Behandlung von Allergien und chronischen Schmerzen geeignet. Auch andere chronische Krankheitszustände lassen sich positiv beeinflussen. Die Grundlage dieser Therapie liegt darin, dass jedes Molekül eine Wellenstrahlung abgibt. Diese Wellenstrahlung ist 106 mal stärker gewichtet als die eigentliche Molekülmasse. Durch Fremdeinwirkung (Fremdstrahlung, andere äußere Einflüsse) und Krankheiten werden diese Wellen verändert. Mittels des Bioresonanztherapiegerätes werden aus den verschieden Informationen des Körpers (Blut, Speichel, Kot, mittels Elektrode direkt vom Problemort) die „guten“, normalen Wellen gefiltert und verstärkt wieder dem Körper zugeführt. Die „schlechten“ werden invers wiedergegeben, d.h. die eigentliche Welle und zugeführte Wellen gleichen sich zu einer 0-Linie aus. Hierdurch können dann die Zellen wieder ihre reguläre Funktion aufnehmen und ausführen.
Dieses Gerät kann auch zur Narbenentstörung verwendet werden. Denn besonders an Narben kommt es zu Veränderungen der Wellenstrahlung im Zellbereich. Auch die Akupunktur berichtet von Unterbrechung des Energieflusses. So kann ein verändertes Gangbild oder auch ein chronischer Schmerzzustand aufgrund von Narbenstörungen entstehen. Das Phänomen der Heilung in Sekunden wurde bereits 1931 vom Chirurgen Leriche entdeckt und seitdem von vielen Ärzten, vor allem mit neuraltherapeutischer Ausbildung angewendet. Diese Phänomene ereignen sich nach bestimmten Gesetzmäßigkeiten, die der Theorie der Traditionellen Chinesischen Medizin (TCM) entsprechen. Nach dieser gibt es im Körper jedes Menschen eine Vielzahl von Energiebahnen, die „Körpermeridiane“, durch welche die Lebensenergie „Qi“ fließt, vergleichbar mit Strom, der durch ein Stromkabel fließt. Kann die Lebensenergie ohne Hindernisse durch die Meridiane fließen, dann ist der Mensch gesund, bei Blockaden, wird er krank, denn dann kann die Informationsübermittlung im Körper nicht mehr richtig funktionieren. Es kommt zu Störungen einzelner Organe oder Körperfunktionen.
Unsere bisherigen Erfahrungen sind super. Gerade bei akuten schmerzhaften Prozessen kommt es zu einem schnelleren Abklingen der Beschwerden. Auch zur Narkoseausleitung und zur Verbesserung der Wundheilung nach Operationen setzen wir die Bioresonanz erfolgreich ein. Ganz besonders interessant ist auch die Verbesserung der Impffähigkeit. Somit kann einem Tier, dass sonst nach der Impfung immer wieder kränklich wird, auch dieser Schutz optimal gewährt werden.
Aber das Hauptaugenmerk dieser Therapie liegt sicherlich in der Stabilisierung der chronisch kranken Patienten. Denn in solchen Patienten hat sich zunächst ein Turm von Kleinstproblemen aufgebaut und das nächste Puzzlesteinchen führt dann zur Eskalation – der Körper wird krank.
Alternative Behandlungsmethoden
Wir führen auch homöopathische und naturheilkundliche Behandlungsmaßnahmen, wie z.B.
Akupunktur/Laserakupunktur/Neuraltherapie/Magnetfeldtherapie/Schüssler-Salze/Homöopathie durch.
In den letzten Jahren hat sich als zusätzlicher Therapieschwerpunkt die Anwendung der oben aufgeführten naturheilkundlichen Methoden herauskristallisiert. Wir versuchen Schulmedizin und Naturheilkunde in vernünftigem Maße miteinander zu verbinden. Die Erfahrung zeigt, dass sich die beiden Methoden häufig ideal ergänzen und die gemeinsame Anwendung im Sinne der Patientengesundheit empfehlenswert ist.
Unser Team besucht regelmäßig Schulungen und bildet sich fort.
Sprechen Sie uns bitte an, wenn Sie Fragen hierzu haben.


